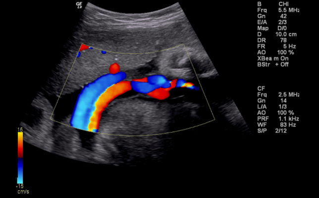
2018/11/20 健康・ダイエット 【心電図、そして…】勤務中、突如動悸が激しくなり、呼吸が苦しい状況に!? 田原 総二郎 ( 五反田エリア / 店舗運営スタッフ ) 上司心拍数病院早期発見不安ドクター心電図原因不明動悸呼吸が苦しい深夜勤務心臓バクバク救急外来波打つグラフ線脈拍1分間で120回心臓エコー生きた心地スコープ吸って吐いてモニターホルター心電図心臓の動き数値チェックMRI不摂生 冒頭から少し暗い話になりますが、つい数日前、深夜勤務中に突如動悸が激しくなり、呼吸が苦しい状況になりました。「このままではヤバい」と思い、自分で病院に電話をして、症状を伝え、今から行くことを告げました。 あまり大事にはしたくなかったので、上司を呼び出しコソッと病院に行って来る旨を伝えました。なんとか自力で行けそうでしたが、心配だからと、上司が病院まで送ってくれました。 目次1 到着2 心臓エコー3 ホルター心電図 到着 心臓はバクバクの状態でしたが、なんとか病院に到着しました。 事前に連絡を入れておいたので、救急外来に到着するとすぐに病室に通され、ベットに横になるよう指示されました。 横になると、「今から心電図をとりますので」と、看護師さんが3人で私の身体に手際よくペタペタと線のついたコードを張り始めました。すべてを張り終えると、「しばらくじっとしててくださいね」と看護師さんに言われ、大人しく横になっていました。 しばらくして、波打つグラフ線のようなものがプリントアウトされ、ドクターがやってきました。その表を見ながら、今度はドクターが私の手首に指を当て脈拍を測りました。 結果は、1分間で120回とかなり早い心拍数です。「緊張しているせいかもしれないので、後でもう一度測ります」とのことで、一度待合室に戻り、再度呼ばれるまで待機します。 そこで、待つこと30分・・・声が掛かり、また病室へ。30分休憩したことで心拍数も落ち着いているはずと思い、ドクターが私の脈拍を測りましたが、なんと30分の休憩があったにもかからわず、休憩前と同じ120回という数値。 これには、ドクターもどうしたものかと頭を悩ませ、「これから心臓のエコーをとります!」という流れに。私としては、「なんでもいいから早くなんとかしてくれ~!!」という気持ち。本当に生きた心地がしませんでした。 心臓エコー 「機械のある部屋に移るので、隣の病室へどうぞ」・・・そして、エコーの用意してある部屋へ。 「はい、ベットの上に横になってくださーい」と言われ、なすがままに。またペタペタとコードの付いたものを体に貼り付けました。 そして、スコープを当てながら「はい、吸ってくださーい、吐いてくださーい」を繰り返しながら、ドクターがモニターを見守ります。 結果的には、ドクターも「ん~?」と首をひねるばかりで原因がわからず。 ホルター心電図 結局のところその場では何もわからず、「ホルター心電図を付けて、心臓の動きを24時間見てみましょう」ということになりました。身体に機械を付けられ、翌日、数値をチェックすることに決まり、その日は病院を後にしました。 自分はこのままどうにかなってしまうのではないか・・・と、不安だらけで生きた心地がしません。 後日、MRI等を使って検査をすることに・・・早期発見とはいうものの、今までの不摂生を考えると不安しかありません。しかし、どんな結果であっても、真摯に受け止めようと思います。 この記事を書いた人 田原 総二郎 ( 五反田エリア/ 店舗運営スタッフ ) 将来は一人で海外生活を送りたいと考えており、大好きな海・酒・カラオケ三昧の毎日を送りたいと考えています!1日でも早く実現できるように日々奮闘しています。 田原総二郎の記事一覧へ 田原総二郎が書いた記事 2020/05/21 【ぶらり一人旅~御殿場編③~】『御殿場プレミアムアウトレット』で時間潰し 2020/03/27 【ぶらり一人旅~御殿場編②~】『さわやかハンバーグ』の待ち時間にビックリ!? 2020/03/03 【ぶらり一人旅~御殿場編①~】渋滞もなんのそのテンション上げて行ってきます 他にもこんな記事が読まれてます 2020/06/06 【お茶ダイエットの効果検証】ラーメンと一緒にお茶を飲んだ時の体重推移 2020/05/27 【マッサージ沼Part2】さまざまな種類のマッサージ屋さんをハシゴする!! 2020/05/15 【40代で人生初のシックスパック】トレーニングで使ってる器具と筋肉の追い込み方 2020/05/09 【痛風の次は糖尿病②】美味しいお酒を飲むために食生活を徹底改善!! 2020/04/17 【春バテに要注意!!】新生活は自律神経が乱れて体調を崩しやすくなる!? 2020/04/13 【虫歯ゼロを目指して③】ついに忌々しい親知らずとの別離の日がきた! 【15年振りの買い替え】パソコンが壊れたので格安PC買ってみました♪ 【魂を震わすホビー!】大人になった今だからこそ楽しめるミニ四駆!!